高尔基体标志物-产品咨询-资讯-生物在线

高尔基体标志物

作者:北京索莱宝科技有限公司 2023-12-08T00:00 (访问量:39509)

图片

  细胞器标志物抗体是细胞生物学中常用的研究工具。靶向特定的抗体有助于了解蛋白的亚细胞定位以及探究其生物功能,也可以在细胞器分离提取物的蛋白质印迹分析中用作阳性对照。

 

 

 

  高尔基体是由数个扁平囊泡堆在一起形成的高度有极性的细胞器,常分布于内质网与细胞膜之间。高尔基体也称高尔基复合体、高尔基器,是真核细胞中内膜系统的组成之一。其主要功能是将内质网合成的蛋白质进行加工、分拣与运输,然后分门别类地送到细胞特定的部位或分泌到细胞外。

 

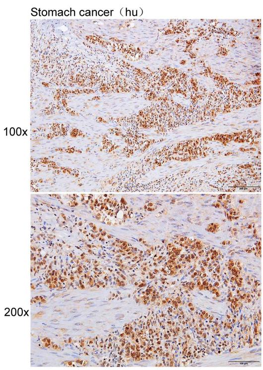
  高尔基体通常呈弓形或半球形,凸出的一面对着内质网称为形成面(Forming face)或顺面(Cis face)。高尔基体蛋白亚家族A成员2(GOLGA2)是一种高度结合高尔基体膜并主要位于顺式高尔基体膜胞质面的外周膜蛋白。GOLGA2与其相互作用的伴侣蛋白一起参与内质网到高尔基体转运的调节以及高尔基体结构的维持。GOLGA2在控制糖基化、细胞周期进程、细胞极化和定向细胞迁移中也具有潜在的作用。

图片

图1  GOLGA2抗体免疫组化结果图

(货号:K007055P

 

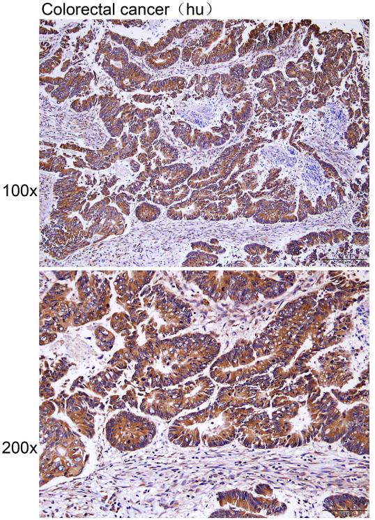
  高尔基磷蛋白2(GOLPH2,也称为GP73或GOLM1)是一种常见的高尔基II型膜蛋白,在许多人类组织的上皮细胞中表达。GOLPH2可通过内体运输分泌到循环中,在许多肿瘤中高表达,可能成为肝细胞癌的血清标志物。

图片

图1  GOLM1抗体免疫组化结果图

(货号:K108375P

 

已有一些蛋白被鉴定可用作高尔基体标志物(见表1)。

 

表1 高尔基体标志物

图片

 

相关产品

产品货号

产品名称

K006033P

Anti-FTCD

Polyclonal Antibody

K003925P

Anti-GOLGA2

Polyclonal Antibody

K113960P

Anti-TGOLN2

Polyclonal Antibody

K005137P

Anti-GOLM1

Polyclonal Antibody

K109153P

Anti-STX6

Polyclonal Antibody

K108223P

Anti-EBAG9

Polyclonal Antibody

K112478P

Anti-B4GALT6

Polyclonal Antibody

 

 

 

北京索莱宝科技有限公司 商家主页

地 址: 北京市北京经济技术开发区环科中路16号26幢3层301

联系人: 索莱宝-龚思雨

电 话: 010-50973130

传 真:

Email:3193328036@qq.com

相关咨询
ADVERTISEMENT